当院ホームページにはLINE登録QRコードを設けておりましたが、本来意図していた利用形態を維持することができなくなってしまったため、削除させていただきました。しかしながら病院LINE自体は機能しております。現在利用いただいている患者様、新たに院内で登録していただいた患者様とのやり取りはこのまま継続させていただきます。
また、様々なお問い合わせフォームから連絡をいただくことがありますが、すべてのものに目を通すことは難しく速やかにお返事することができない場合も多々生じております。
治療にあたり飼い主様との信頼関係が大切だと考えております。対面し病気のこと以外もお話しすることでわかる部分もあるかと思います。アナログではありますがお問い合わせについては、一度お電話でお話しさせていただき実際に診療させていただければと考えております。
[もっと読む…] about 当院LINEとお問い合わせについて
8月:休診のお知らせ
関東地方も梅雨が明けて夏本番の暑さがやってきました。例年の暑さを超える猛暑、くれぐれも熱中症にはお気をつけください。8月は以下の期間でお休みをいただきます。
6日(日) 休診
14日(月)〜17日(木) お盆休み
6日は、今年高校に進学し、将来獣医になることを目標としている長女のお供で日本大学のオープンキャンパスに行ってきます。卒業して26年。大学がどれだか変わったか、娘より僕の方がワクワクしております。
6月:休診のお知らせ
18日(日) 学会出席のため休診とさせていただきます。
当院からのお願い
コロナウイルス感染症も2類から5類に分類され、世の中も以前のような賑わいを取り戻してきている今日この頃。少しずつ以前の生活になっていくことは好ましいことですが、なかなかマスクを外せなかったり狭い室内で大人数というのは少々抵抗が残ります。当院もコロナが流行りだした当初から患者様には予め予約をいただき、その時間には他の患者様とかぶらないよう診察を行ってまいりました。このスタイルはこれからも継続していきたいなと思っております。
しかしながらいつ病気になるか、緊急事態が起きるかなんてわかりません。ご不便がないよう対応が取れるようにするためにも是非ともお願いしたいことがあります。診察時間内でしたら、まずお電話を1本入れてください。内容によっては時間を指定させていただいたり、思い当たる病院を紹介したりすることが出来ます。当院ではなく、かかりつけの病院がありましたらまずはそちらの先生と連絡を取って頂けると幸いです。お待ち頂く時間を少しでも少なくするため、ご協力のほどよろしくお願いいたします。
5月:休診と診療時間変更のおしらせ
久しぶりに行動規制のないゴールデンウィーク。当院も3日(水)〜5日(金)の期間休診とさせていただきます。皆様楽しい休暇をお過ごしください。
13日は診療時間に変更があります。お間違えのないようよろしくお願いいたします。
13日(土) 午前10時より休診 午後は通常通り
診療時間変更のお知らせ
狂犬病予防集合注射参加に伴い、以下の日時において診療時間が変更になります。お間違えのないようよろしくお願いします。
4月8 日(土) 午前休診 午後15時30分診療開始(予定)
4月28日(金) 午前休診 午後15時30分診察開始(予定)
診療時間変更のお知らせ
子供の頃から可愛がってもらっていた親戚の葬儀が出来てしまいました。申し訳ありませんが、以下の日時において診療時間を変更させていただきます。
3月31日 午後の診療時間を15〜17時までとさせていただきます。
4月 1日 午前の診療を休診とさせていただきます。(午後は通常通り診療)
ご迷惑をお掛けしますがよろしくお願いします。
令和5年度の狂犬病予防接種を開始しました
皆様のお手元に、宇都宮市から狂犬病予防接種のお知らせが届いたかと思います。4月から指定の場所による集合注射が実施されますが、3月15日より個人病院でも新年度の注射が可能となりますた。早めの注射をご希望の方はご連絡ください。
年末年始休診のお知らせ。
10月:休診のお知らせ
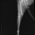
6日(木)〜8日(土)の3日間、AO VET Course-Advanced Techniques in Small Animal Fracture Managementを受講するため休診とさせていただきます。AOとは、『AO (Arbeitsgemeinschaft für Osteosynthesefragen)は、1958年スイスで13名の外科医によって創設された骨折治療に関する研究グループです。約50年の時を経て、国際的、外科的、そして、科学的な研究財団(Foundation)へと発展し、世界各国12,000人以上の整形外科医・外傷医、手術室看護師(ORP)、獣医師が所属する世界有数の学術的組織となり、外傷及び骨接合法における”Global Standard”と呼ばれるほどになりました。』(抜粋)
2018年に基礎講座にあたる講習を受け、本来でしたら2020年に今回の講習を受ける予定だったのですが、世界的なコロナウイルス感染症の流行のためずっと延期されてました。教科書で知識を得ることは出来ますが、国内外の有名な講師陣に直接教えてもらえる機会、休診日を利用しても2日間病院を閉めねばならず当院ご利用の患者様にはご迷惑をお掛けすることになりますが、ご理解のほどよろしくお願いいたします。

